
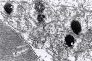
(magn. 51440x)
Cross section of the pigment epithelium in a black eyed young Budgerigar (age app. 6 weeks)
1. premelanosome
2. stage II premelanosome (parallel longitudial filaments visible)
3. stage III premelanosome (partially obscured longitudial filaments caused by melanin deposition)
4. and 5. stage IV mature black eumelanosomes
Photograph copied from the thesis of Dr. H. Wilken (1998).
By courtesy of Dr. A. Boos (School of Veterinary Medicine Hannover, Germany)
more photographs
©Inte Onsman
MUTAVI Research & Advice Group